肺结节
的有关信息介绍如下:
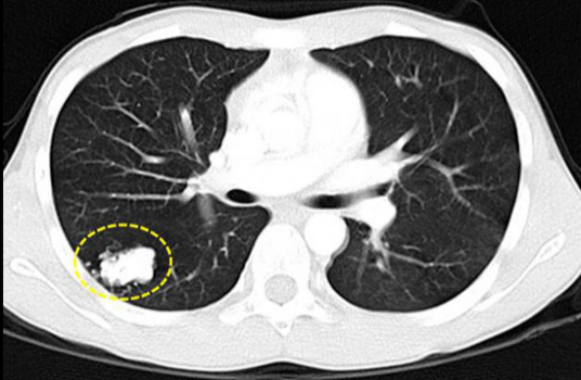
肺结节是指肺部影像上各种大小、边缘清楚或模糊、直径小于等于3cm的局灶性圆形致密影。
肺结节呈世界分布,欧、美国家发病率较高,东方民族少见,多见于20~40岁,女略多于男。
中国专家组制定了本共识,并分别讨论了结节直径>8mm、直径<8mm和不同密度结节(实性结节与非实性结节)。之所以将结节直径界限值定为8mm,是因为<8mm者在短时间内发展为恶性肿瘤的可能性相对较小,或肿瘤倍增时间较长,目前较难准确判断。
想要了解更多“肺结节”的信息,请点击:肺结节百科

肺结节是指肺部影像上各种大小、边缘清楚或模糊、直径小于等于3cm的局灶性圆形致密影。
肺结节呈世界分布,欧、美国家发病率较高,东方民族少见,多见于20~40岁,女略多于男。
中国专家组制定了本共识,并分别讨论了结节直径>8mm、直径<8mm和不同密度结节(实性结节与非实性结节)。之所以将结节直径界限值定为8mm,是因为<8mm者在短时间内发展为恶性肿瘤的可能性相对较小,或肿瘤倍增时间较长,目前较难准确判断。
想要了解更多“肺结节”的信息,请点击:肺结节百科